跳至主要內容
關於慕光
慕光核心
環境設備
專科醫療團隊
院長 黃筱婷醫師
副院長 林國義醫師
副院長 黃于洲醫師
林震名醫師
陳加晉醫師
陳宣佑醫師
陳思如醫師
診療項目
全口重建
全瓷冠與陶瓷貼片
牙周病治療
顯微根管治療
人工植牙
齒顎矯正
兒童牙醫
舒眠牙醫
案例分享
前牙美學案例
牙齒矯正案例
牙周治療案例
人工植牙案例
顯微根管案例
活動假牙案例
牙體復形案例
兒童牙科案例
牙科知識
關於前牙美學
關於牙齒矯正
關於牙周治療
關於人工植牙
關於顯微根管
關於活動假牙
關於全口重建
關於兒童牙科
關於慕光
慕光核心
環境設備
專科醫療團隊
院長 黃筱婷醫師
副院長 林國義醫師
副院長 黃于洲醫師
林震名醫師
陳加晉醫師
陳宣佑醫師
陳思如醫師
診療項目
全口重建
全瓷冠與陶瓷貼片
牙周病治療
顯微根管治療
人工植牙
齒顎矯正
兒童牙醫
舒眠牙醫
案例分享
前牙美學案例
牙齒矯正案例
牙周治療案例
人工植牙案例
顯微根管案例
活動假牙案例
牙體復形案例
兒童牙科案例
牙科知識
關於前牙美學
關於牙齒矯正
關於牙周治療
關於人工植牙
關於顯微根管
關於活動假牙
關於全口重建
關於兒童牙科
立即預約
case
案例分享
knowledge
牙科知識
前牙美學
人工植牙
牙齒矯正
牙周治療
顯微根管
活動假牙
兒童牙科
前牙美學
人工植牙
牙齒矯正
牙周治療
顯微根管
活動假牙
兒童牙科
前牙美學
人工植牙
活動假牙
牙齒矯正
牙周治療
顯微根管
兒童牙科
前牙美學
人工植牙
活動假牙
牙齒矯正
牙周治療
顯微根管
兒童牙科
前牙美學
,
案例分享
發現自己笑起來多有魅力|院長 黃筱婷 醫師
如果擁有一口漂亮的牙齒, 你就會發現自己笑起來多有魅力~
前牙美學
,
案例分享
治療最重要是把牙齒健康顧好|院長 黃筱婷 醫師
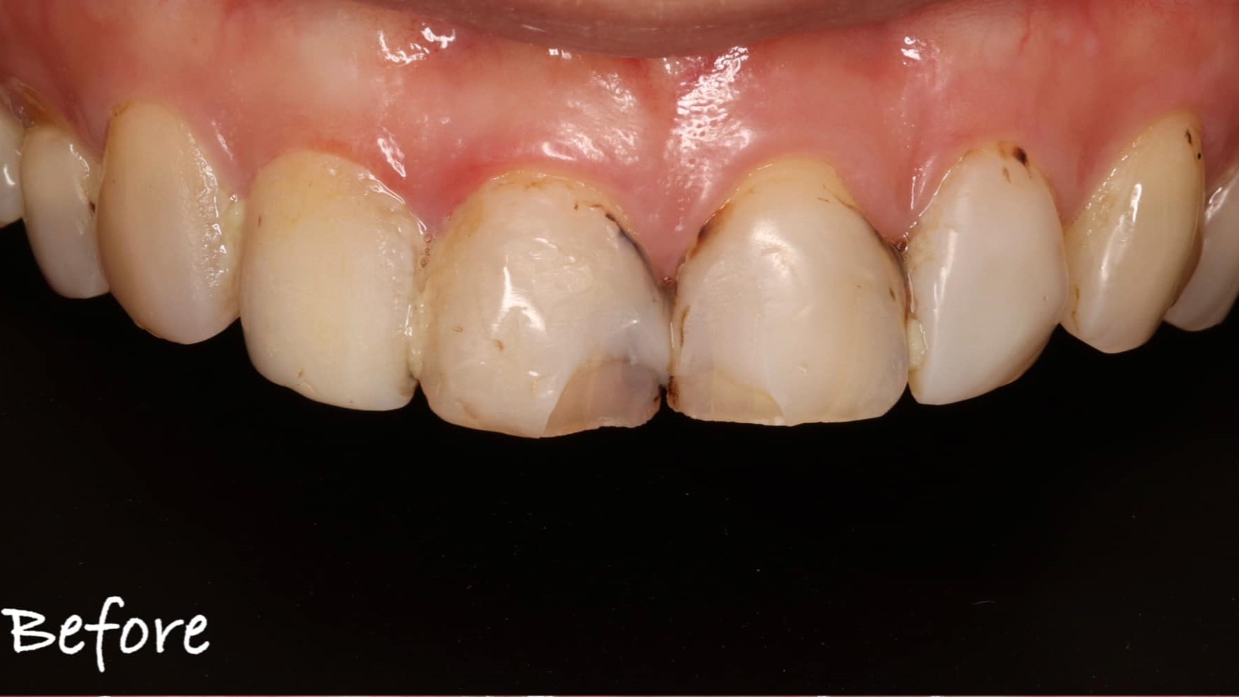
漂亮女生在其他診所做了樹脂貼片!因為密合度不佳,導致多顆牙齒蛀牙且牙肉發炎,貼片邊緣也開始變色......
前牙美學
,
案例分享
一個燦爛的笑容,帥氣更加倍|院長 黃筱婷 醫師
一個燦爛的笑容,帥氣更加倍~ 才華洋溢,手上的刺青是他的作品哦
前牙美學
,
案例分享
蛀牙率高的人適合貼片嗎?|院長 黃筱婷 醫師
一個設計良好,精密製作的陶瓷貼片,不僅僅可以改善美觀,更可以提供牙齒很好的保護喔!
前牙美學
,
案例分享
多顆舊假牙換新牙|院長 黃筱婷 醫師
重新設計牙齒的型態和顏色 同時治療舊假牙不合造成的蛀牙
前牙美學
,
人工植牙
猜猜看哪一個是牙橋?哪一個是植牙?|院長 黃筱婷 醫師
缺牙時,我們可以選擇用牙橋來重建!牙橋的原理是利用左右兩顆牙齒來當支柱,做成三顆連在一起的假牙!猜猜看圖片中哪一個是牙橋?哪一個是植牙?
前牙美學
,
案例分享
給您晶瑩剔透的牙齒|院長 黃筱婷 醫師
給您晶瑩剔透的牙齒 有層次有溫度的美麗❤️
前牙美學
,
案例分享
牙齦露太多了笑起來不好看怎麼辦?|院長 黃筱婷 醫師
陶瓷的世界沒那麼簡單,一樣都說是全瓷冠,是不是連你都能發現前後的差別呢?
前牙美學
全瓷冠其實不只一種|副院長 黃于洲 醫師
陶瓷的世界沒那麼簡單,一樣都說是全瓷冠,是不是連你都能發現前後的差別呢?
分類:前牙美學